Магнитно-резонансная томография (МРТ) головного мозга — один из самых точных и информативных методов диагностики в современной медицине. Он позволяет получить детальные послойные изображения структур мозга без использования ионизирующего излучения. Благодаря высокой чувствительности метода врач может выявить даже минимальные изменения, которые невозможно обнаружить другими способами.

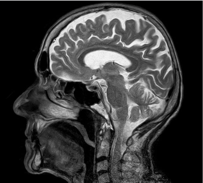
Какие структуры видны на МРТ
На снимках МРТ отчётливо визуализируются все основные структуры головного мозга: полушария, мозжечок, ствол мозга, желудочковая система и оболочки. Метод позволяет оценить состояние серого и белого вещества, выявить изменения в тканях, определить их локализацию и распространённость.
Также хорошо видны кровеносные сосуды (особенно при использовании специальных режимов или контрастирования), что позволяет оценить кровоснабжение мозга и выявить сосудистые патологии.
Какие заболевания можно обнаружить
МРТ головного мозга применяется для диагностики широкого спектра заболеваний. На снимках могут быть выявлены опухоли различной природы, включая доброкачественные и злокачественные образования. Метод позволяет определить их размеры, структуру и влияние на окружающие ткани.
Также МРТ эффективно выявляет последствия инсультов — как острых, так и перенесённых ранее. Врач может увидеть зоны ишемии, кровоизлияния и оценить степень повреждения тканей.
С помощью МРТ диагностируются воспалительные процессы (например, энцефалит, менингит), рассеянный склероз и другие демиелинизирующие заболевания. Кроме того, исследование помогает выявить кисты, аномалии развития, гидроцефалию и изменения, связанные с травмами.
Роль контрастного усиления
В некоторых случаях для повышения информативности исследования используется контрастное вещество. Оно вводится внутривенно и помогает более чётко визуализировать опухоли, сосудистые изменения и очаги воспаления. Контраст позволяет отличить активные патологические процессы от неактивных и уточнить диагноз.
Когда назначают МРТ головного мозга
Исследование назначается при частых головных болях, головокружениях, нарушениях зрения и слуха, потере сознания, судорогах, снижении памяти и концентрации. Также МРТ проводится при подозрении на опухоли, сосудистые нарушения, последствия травм и для контроля уже выявленных заболеваний.
Как интерпретируются результаты
Результаты МРТ анализирует врач-рентгенолог. Он оценивает структуру тканей, симметрию отделов мозга, наличие патологических очагов, их размеры и характеристики. На основании этих данных формируется заключение, которое передаётся лечащему врачу для постановки диагноза и выбора тактики лечения.
Важно понимать, что МРТ — это инструмент диагностики, а окончательный диагноз ставится с учётом клинической картины и дополнительных обследований.

Преимущества прохождения МРТ в медицинском центре «ТОМОГРАФ»
Медицинский центр «ТОМОГРАФ» предлагает проведение МРТ головного мозга на современном оборудовании, обеспечивающем высокую детализацию изображений. Пациенты проходят обследование в комфортных условиях и без длительного ожидания благодаря предварительной записи. Опытные специалисты проводят точную расшифровку результатов и подготавливают заключение в кратчайшие сроки. Индивидуальный подход, внимательное отношение и высокая точность диагностики позволяют пациентам получить достоверную информацию о состоянии здоровья и своевременно обратиться к лечению.
МРТ головного мозга — это надёжный способ выявить широкий спектр заболеваний на ранней стадии. Точность метода позволяет врачам принимать обоснованные решения и назначать эффективное лечение. При появлении тревожных симптомов не стоит откладывать обследование — своевременная диагностика играет ключевую роль в сохранении здоровья и качества жизни.


Ваш комментарий будет первым